
Implant Dentaire a Geneve : Guide Complet 2026
Tout ce que vous devez savoir sur l'implant dentaire a Geneve : prix reels, etapes de la pose, duree de vie, remboursement, candidats eligibles, et comment choisir entre implant unitaire, All-on-4 et All-on-6. Ce guide est redige par l'equipe de Rhone Dental Clinic, cabinet d'implantologie situe Rue du Rhone 29, qui pose des implants depuis 1952.
L'implant dentaire est aujourd'hui la reference mondiale pour remplacer une dent manquante. En Suisse, plus de 95% des implants en titane fonctionnent encore apres 10 ans, et la recherche clinique documente des taux de survie superieurs a 92% a 20 ans. Mais l'implant reste une chirurgie : il faut comprendre le protocole, le budget, les delais et les alternatives pour prendre une decision eclairee. Ce guide couvre tout, sans raccourcis.
Qu'est-ce qu'un implant dentaire ?
Un implant dentaire est une racine artificielle en titane vissee dans l'os de la machoire, destinee a remplacer la racine d'une dent manquante. Une fois integre a l'os (on parle d'osseointegration), l'implant sert de support a une couronne ceramique, un bridge ou une prothese complete. Le resultat est une dent fixe, indiscernable d'une dent naturelle.
Un implant complet se compose de trois elements distincts :
- •L'implant (la vis en titane) : mesure 8 a 14 mm de long, 3 a 5 mm de diametre. Pose dans l'os sous anesthesie locale.
- •Le pilier (abutment) : piece intermediaire qui sort de la gencive et recoit la couronne. Pose 3 a 6 mois apres l'implant.
- •La couronne : partie visible en zircone ou ceramique, sur-mesure, fabriquee au laboratoire suisse d'apres une empreinte numerique.

Le titane a ete choisi par le chercheur suedois Per-Ingvar Branemark dans les annees 1960 car il presente une propriete unique : l'os vivant s'y attache directement, sans tissu cicatriciel interpose. Aujourd'hui, environ 93% des implants poses dans le monde sont en titane commercialement pur ou en alliage titane-zirconium. Le zirconium apparait comme alternative metal-free, mais le titane reste la reference clinique avec le plus grand recul documente.
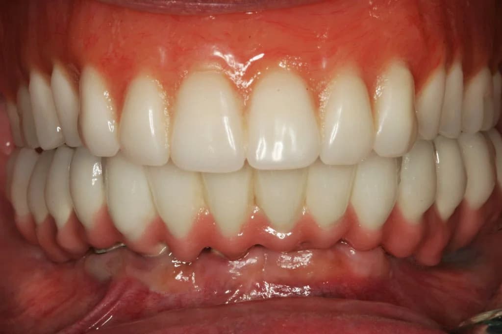
L'implant remplace uniquement la racine. Une fois l'implant integre, il se comporte comme une dent naturelle : vous mangez ce que vous voulez, vous brossez normalement, vous parlez et riez sans gene. Contrairement aux protheses amovibles, il n'y a ni glissement, ni inconfort, ni impact sur le gout. Contrairement aux bridges traditionnels, il ne necessite pas de meuler les dents voisines.
Prix a Geneve et remboursement
En 2026, le prix d'un implant dentaire a Geneve depend de trois facteurs : le type d'implant, la marque choisie (Straumann, Nobel Biocare, Dentsply) et les eventuels soins associes (greffe, sinus lift). Voici les fourchettes reelles observees dans les cliniques genevoises :
| Type de traitement | Prix Geneve 2026 | Rhone Dental |
|---|---|---|
| Consultation + scanner CBCT 3D | CHF 100 - 300 | CHF 115 |
| Implant unitaire complet (implant + pilier + couronne) | CHF 2,800 - 4,900 | CHF 3,000 - 4,000 |
| Couronne seule sur implant | CHF 1,000 - 2,200 | CHF 1,200 - 1,800 |
| All-on-4 (arcade complete) | CHF 12,000 - 22,000 | CHF 15,000 - 20,000 |
| All-on-6 (premium) | CHF 16,000 - 28,000 | CHF 18,000 - 25,000 |
| Greffe osseuse | CHF 500 - 3,500 | Sur devis |
| Sinus lift | CHF 1,500 - 4,000 | Sur devis |
Pourquoi ces prix ? Un implant dentaire n'est pas un produit fini : c'est un dispositif medical de Classe IIb, un acte chirurgical, un laboratoire prothetique, et un suivi a vie. Le prix inclut le scanner 3D pre-operatoire, la chirurgie, l'implant lui-meme (CHF 300-600 piece coutant), le pilier, la couronne fabriquee sur mesure, les anesthesiques, les medicaments et les controles post-operatoires. La Suisse applique en outre les salaires, charges sociales et normes de sterilisation les plus stricts au monde.
Remboursement : ce que couvre (ou ne couvre pas) la LAMal
L'assurance de base obligatoire (LAMal) ne rembourse pas les implants dentaires, sauf dans trois cas tres precis definis par l'Ordonnance sur l'assurance-maladie (OPAS, art. 17-19a) :
- 1.Accident couvert par la LAA (assurance accident).
- 2.Maladie grave de l'appareil masticateur (tumeur, malformation congenitale, osteomyelite).
- 3.Maladie generale ayant entraine l'edentation (certaines pathologies rares).
Dans la vie reelle, ces cas sont extremement rares. Pour la quasi-totalite des patients, l'implant reste a charge. La seule vraie prise en charge possible passe par une assurance complementaire dentaire prive (SWICA, Visana, Groupe Mutuel, Helsana Completa Plus), qui peut couvrir entre 50% et 75% des frais selon le contrat et l'anciennete. Attention : ces contrats imposent generalement un delai de carence (6-12 mois) et des plafonds annuels.
Avant tout traitement, demandez toujours un devis ecrit detaille et soumettez-le a votre complementaire avant acceptation. A Rhone Dental Clinic, nous fournissons le devis standardise Tarif Dentaire Suisse accepte par toutes les assurances suisses, et nous proposons des facilites de paiement (3 a 24 mensualites) pour etaler le budget.
Etapes de la pose d'un implant, de A a Z
La pose d'un implant dentaire ne se resume pas a un rendez-vous. C'est un parcours en 6 etapes distinctes reparties sur environ 4 a 6 mois. Voici ce qui se passe reellement a chaque etape :

Etape 1 : Consultation et scanner CBCT (jour J)
Examen clinique complet, prise d'empreintes, photos, et surtout scanner CBCT 3D (Cone Beam). Ce scanner de derniere generation permet de visualiser l'os de la machoire en trois dimensions, de mesurer precisement le volume osseux disponible, d'identifier la position du nerf dentaire inferieur et des sinus maxillaires. Duree : 45-60 min. Le chirurgien etablit ensuite un plan de traitement numerique et remet un devis ecrit.
Etape 2 : Planification numerique (1 a 2 semaines plus tard)
Sur un logiciel de planification (Straumann CoDiagnostix, Nobel Clinician), l'implant est pose virtuellement dans l'os du patient avec une precision sub-millimetrique. Le laboratoire fabrique ensuite un guide chirurgical sur mesure en resine imprimee 3D, qui se pose sur les dents et indique exactement l'axe et la profondeur de forage. C'est la chirurgie guidee.
Etape 3 : Pose chirurgicale (30 a 60 min par implant)
Sous anesthesie locale, le chirurgien ouvre la gencive, prepare l'os avec des forets de diametres croissants, puis visse l'implant en titane a un couple precis (30-45 Ncm). Il referme la gencive avec quelques points de suture resorbables. Tout se fait sans douleur. La duree varie selon le nombre d'implants : 30 min pour un unitaire, 2 a 3h pour un All-on-4 complet.
Etape 4 : Cicatrisation et osseointegration (3 a 6 mois)
La plus longue phase. L'os vivant doit coloniser la surface microstructuree du titane : c'est l'osseointegration. Elle dure 3 mois a la mandibule (os dense) et 4 a 6 mois au maxillaire (os spongieux). Pendant cette periode, une dent provisoire peut etre posee si l'esthetique est critique (dents du sourire). Les patients traites en mise en charge immediate repartent avec des dents provisoires des le jour de la chirurgie.
Etape 5 : Pose du pilier et empreinte (1 rdv, 30 min)
Une fois l'implant integre, le chirurgien ouvre la gencive (intervention mineure) et visse le pilier de cicatrisation. Une empreinte numerique est prise avec un scanner intra-oral. Le laboratoire fabrique la couronne definitive en 1 a 2 semaines.
Etape 6 : Pose de la couronne definitive (1 rdv, 30 min)
La couronne en zircone ou ceramique est vissee ou scellee sur le pilier. Ajustements d'occlusion, controle radio, conseils d'hygiene. Votre dent est fonctionnelle immediatement. Vous pouvez manger normalement le jour meme, a l'exception des 48 premieres heures ou un regime tiede est recommande.
Total : comptez entre 4 et 6 mois entre la premiere consultation et la dent definitive. Avec la mise en charge immediate, vous avez des dents fixes des le jour 1, mais la couronne definitive reste posee en fin de parcours.
Osseointegration et cicatrisation
L'osseointegration est le phenomene biologique cle qui fait tout le succes des implants modernes. Decouverte par hasard en 1952 par Per-Ingvar Branemark alors qu'il etudiait la microcirculation osseuse chez le lapin, cette decouverte a revolutionne la dentisterie. Branemark a observe que les chambres d'observation en titane qu'il implantait dans l'os ne pouvaient plus etre retirees : l'os s'etait directement fusionne avec le metal.

Techniquement, l'osseointegration est definie comme une connexion structurelle et fonctionnelle directe entre l'os vivant ordonne et la surface d'un implant porteur de charge. Aucun autre materiau medical ne permet cette fusion. Le timing biologique est le suivant :
| Periode | Phenomene biologique | Ce que vous ressentez |
|---|---|---|
| Jours 1 a 7 | Formation du caillot, cellules osseuses colonisent la surface | Gene legere, legerer oedeme, 2-3 jours de paracetamol |
| Semaines 2 a 6 | Os immature (tissu osseux) depose autour de l'implant | Aucune sensation, reprise des activites normales |
| Semaines 6 a 12 | Remodelage osseux, densification autour de l'implant | Aucune sensation |
| Mois 3 a 6 | Osseointegration mature, stabilite maximale atteinte | L'implant est pret pour la charge fonctionnelle |
La vitesse d'osseointegration depend de quatre facteurs majeurs : la qualite de l'os receveur (mandibule plus dense que maxillaire), la surface de l'implant (les surfaces modifiees SLActive de Straumann reduisent le temps d'integration de 6 a 3-4 semaines), la stabilite primaire obtenue a la pose, et l'etat general du patient (tabac, diabete, medicaments). Une etude prospective sur 15,483 implants publiee en 2022 a montre un taux d'osseointegration reussie de 97,8%.
Les rares echecs surviennent generalement dans les 3 premiers mois. Ils sont detectables cliniquement (mobilite de l'implant) et sur le scanner de controle. Dans ce cas, l'implant est retire, l'os cicatrise 2-3 mois, et un nouvel implant peut etre repose au meme endroit avec un taux de succes identique.
All-on-4 vs All-on-6 : quelle technique choisir ?
Lorsqu'il manque toutes les dents d'une arcade (haut ou bas), ou que les dents restantes sont irrecuperables, deux techniques permettent de reconstituer toute l'arcade en une seule chirurgie : le All-on-4 et le All-on-6. Ces techniques sont plus rapides, moins invasives et moins couteuses que de poser un implant par dent manquante.

Le principe du All-on-4
Concu par le Dr Paulo Malo en 1998, le protocole All-on-4 utilise seulement 4 implants pour supporter un bridge complet de 12 dents. Les deux implants anterieurs sont poses verticalement, les deux posterieurs sont inclines a 30-45 degres. Cette inclinaison evite les zones sensibles (sinus maxillaire, nerf dentaire inferieur) et permet d'exploiter l'os dense disponible meme chez les patients ayant perdu beaucoup d'os.
Avantage majeur : le All-on-4 permet souvent d'eviter les greffes osseuses en utilisant les angles d'os disponibles. C'est la solution ideale pour les patients presentant une resorption osseuse moderee. La mise en charge immediate est quasi-systematique : vous repartez le jour meme avec un bridge provisoire visse.
Le principe du All-on-6
Le All-on-6 ajoute deux implants supplementaires au milieu de l'arcade, pour un total de 6 implants. Cela repartit mieux les forces masticatoires et reduit le stress mecanique sur chaque implant. Le All-on-6 est recommande lorsque le volume osseux est suffisant, notamment au maxillaire superieur ou a la mandibule saine.

Comparatif detaille
| Critere | All-on-4 | All-on-6 |
|---|---|---|
| Nombre d'implants | 4 (2 droits + 2 inclines) | 6 (tous droits ou mix) |
| Prix Rhone Dental | CHF 15,000 - 20,000 | CHF 18,000 - 25,000 |
| Volume osseux requis | Faible a modere | Modere a bon |
| Greffe osseuse | Souvent evitee | Parfois necessaire |
| Mise en charge immediate | Oui (standard) | Oui (standard) |
| Repartition des forces | Concentree | Mieux repartie |
| Taux de survie a 10 ans | 94-97% | 95-98% |
| Recommande pour | Patients edentes, resorption osseuse | Bruxisme, arcade superieure, os bon |
Conclusion pratique : les etudes cliniques comparatives ne montrent pas de difference significative de survie entre les deux techniques quand le protocole est bien suivi. Le choix depend de votre os et de votre budget. A la mandibule, le All-on-4 est generalement suffisant. Au maxillaire ou en cas de bruxisme marque, le All-on-6 offre une marge de securite mecanique. La decision finale se prend apres le scanner CBCT.
Greffe osseuse et sinus lift : quand sont-ils necessaires ?
Lorsqu'une dent est perdue, l'os qui la supportait commence a se resorber. En 6 a 12 mois, jusqu'a 25% du volume osseux peut disparaitre. Apres quelques annees, il arrive que l'os restant ne soit plus suffisant pour ancrer un implant : hauteur inferieure a 8 mm, epaisseur inferieure a 4 mm. Dans ce cas, une reconstruction osseuse prealable est necessaire. On distingue principalement deux techniques.
La greffe osseuse (augmentation de crete)
Consiste a ajouter de l'os au niveau de la crete alveolaire. Plusieurs types de greffons sont utilises en 2026 :
- •Autogreffe : os preleve sur le patient lui-meme (menton, branche montante mandibulaire). Gold standard mais deuxieme site chirurgical.
- •Allogreffe : os humain de donneur, traite et sterilise. Excellente biocompatibilite.
- •Xenogreffe : os bovin anorganique (Bio-Oss). Le plus utilise en Suisse, excellent recul clinique.
- •Biomateriaux synthetiques : phosphate tricalcique, verre bioactif. Alternative totalement artificielle.
La greffe necessite 3 a 6 mois de cicatrisation avant de pouvoir poser l'implant. Dans certains cas, la greffe et l'implant sont poses simultanement pour gagner du temps.
Le sinus lift (elevation sinusienne)
Au maxillaire superieur, au niveau des molaires, la racine de l'ancienne dent frole souvent le sinus maxillaire. Apres extraction, l'os vertical disponible est souvent insuffisant. Le sinus lift consiste a soulever delicatement la membrane du sinus et a combler l'espace cree avec un biomateriau. Cela permet de gagner 6 a 12 mm de hauteur osseuse.
Il existe deux approches :
- •Sinus lift par voie crestale (osteotome) : approche mini-invasive, possible quand il reste 5-7 mm d'os. Permet l'insertion simultanee de l'implant.
- •Sinus lift par voie laterale (fenetre osseuse) : pour les deficits majeurs. L'implant est pose 4-6 mois plus tard.
Le sinus lift est une intervention courante et tres bien maitrisee. Les complications sont rares : perforation de la membrane sinusienne (rattrapable immediatement), sinusite post-operatoire (5-7% des cas), et plus rarement infection du greffon. En 2026, le taux de succes global depasse 96%.
A retenir : environ 30 a 40% des patients ayant perdu une dent depuis plus de 2 ans necessiteront une reconstruction osseuse. Ce n'est ni grave ni inhabituel, c'est une etape banale que nous maitrisons depuis des decennies. Le scanner CBCT de la consultation permet d'anticiper le besoin et le cout.
Etes-vous un bon candidat ? Contre-indications
La grande majorite des adultes en bonne sante generale sont candidats a la pose d'implants. Il n'y a pas d'age maximal : nous posons regulierement des implants chez des patients de 80 ans, et la physiologie permet l'osseointegration a tout age. En revanche, certaines situations demandent une vigilance particuliere ou une prise en charge adaptee.
Contre-indications absolues (rares)
- •Radiotherapie cervico-faciale a forte dose recente (risque d'osteoradionecrose).
- •Traitement par bisphosphonates intraveineux (certains cancers osseux).
- •Patient mineur dont la croissance osseuse n'est pas terminee (generalement apres 18 ans).
- •Chimiotherapie en cours non stabilisee.
- •Maladie systemique grave non controlee (insuffisance cardiaque severe, troubles de la coagulation majeurs).
Contre-indications relatives (prise en charge adaptee)
- •Diabete : possible si HbA1c inferieure a 7%. Cicatrisation plus lente, suivi rapproche necessaire.
- •Tabac : le taux d'echec est multiplie par 2 chez les fumeurs. Arret imperatif 1 semaine avant et 2 mois apres la chirurgie.
- •Bruxisme severe : necessite une goutiere nocturne et souvent un All-on-6 plutot qu'un All-on-4.
- •Volume osseux insuffisant : resolu par greffe ou sinus lift.
- •Parodontite active : doit etre traitee et stabilisee avant toute pose d'implant.
- •Hygiene bucco-dentaire insuffisante : motivation et education prealables indispensables.
Le cas du tabac
Le tabagisme est le principal facteur de risque d'echec implantaire sur lequel le patient peut agir. Une revue publiee dans PubMed montre que les implants poses dans un sinus greffe de fumeur echouent deux fois plus souvent que chez les non-fumeurs. La nicotine provoque une vasoconstriction qui reduit l'apport d'oxygene aux tissus en cicatrisation. Il est imperatif d'arreter au moins 1 semaine avant la chirurgie et 2 mois apres. L'arret definitif est evidemment l'option ideale et double les chances de succes a long terme.
Entretien et duree de vie
L'implant dentaire en titane est concu pour durer toute la vie. Les etudes a long terme les plus rigoureuses montrent des taux de survie :
- •97-98% a 5 ans
- •92-97% a 10 ans
- •92% a 20 ans (etudes Branemark, Straumann)
L'implant lui-meme, une fois integre, ne vieillit pas : le titane est biocompatible, inerte et ne se degrade pas. Ce qui peut echouer, c'est l'os ou la gencive qui l'entoure, ou la couronne/prothese qui le recouvre.
La peri-implantite : la principale menace
La peri-implantite est une infection des tissus autour de l'implant, comparable a une parodontite. Elle provoque une perte osseuse progressive qui peut mener a la perte de l'implant. Sa prevalence est estimee entre 10 et 25% des implants a 10 ans. Les facteurs de risque majeurs sont : mauvaise hygiene, tabac, antecedents de parodontite, diabete non controle, absence de controles reguliers.
La prevention repose sur trois piliers :
- 1.Hygiene quotidienne rigoureuse : brosse a dents souple 2x/jour, brossettes interdentaires adaptees, fil dentaire ou hydropulseur, dentifrice fluore.
- 2.Detartrage professionnel tous les 6 mois chez une hygieniste dentaire specialisee (utilisation de curettes en titane ou fibre de carbone, pas d'instruments en acier qui rayeraient l'implant).
- 3.Controle annuel avec radiographie pour surveiller l'os peri-implantaire.
Duree de vie des composants
| Composant | Duree de vie typique | Remplacement |
|---|---|---|
| Implant (vis titane) | A vie | Jamais (si bien entretenu) |
| Pilier (abutment) | 15-25 ans | Possible si necessaire |
| Couronne ceramique | 15-25 ans | Souvent 1x dans la vie |
| Vis de pilier | 5-15 ans | Remplacement simple (5 min) |
Les marques premium suisses et europeennes (Straumann, Nobel Biocare) offrent generalement une garantie a vie sur l'implant lui-meme. Chez Rhone Dental Clinic, nous utilisons exclusivement ces marques pour garantir la disponibilite des pieces de rechange dans 20 ou 30 ans.
Pourquoi se faire implanter a Geneve ?
Geneve est l'une des villes du monde ou la qualite des soins dentaires est la plus elevee. La Suisse impose aux implantologues une formation universitaire de 6 ans de medecine dentaire (Master) + specialisation de 3 ans en implantologie, contre 5 ans au total dans beaucoup de pays europeens. Les cabinets sont regis par la Societe Suisse des Medecins-Dentistes (SSO) qui impose des standards stricts de materiel, de sterilisation et de formation continue.
Le tourisme dentaire vers la Hongrie, la Turquie ou l'Espagne peut sembler attractif sur le papier (40-60% moins cher), mais comporte des risques documentes :
- •Suivi impossible : en cas de complication, vous devez retourner sur place ou payer un nouveau traitement en Suisse.
- •Qualite des implants : certaines cliniques utilisent des marques low-cost sans recul clinique.
- •Duree trop courte : les protocoles corrects exigent 4-6 mois, impossible en un sejour de 7 jours.
- •Garanties non applicables en cas de litige transfrontalier.
Rhone Dental Clinic : 73 ans d'implantologie a Geneve
Notre clinique, situee Rue du Rhone 29, au coeur du quartier des Eaux-Vives, traite les patients genevois depuis 1952. Nos specificites :
- •Scanner CBCT 3D sur place pour la planification numerique.
- •Chirurgie guidee sur mesure pour chaque implant.
- •Laboratoire prothetique suisse partenaire, delais courts.
- •Implants Straumann et Nobel Biocare exclusivement.
- •Mise en charge immediate disponible pour les cas eligibles.
- •Ouverture 7 jours sur 7, lundi-vendredi 8h-19h, samedi 9h-13h, urgences dimanche sur rdv.
- •Facilites de paiement de 3 a 24 mensualites.
Nous accueillons les patients de toute la region genevoise : Centre-ville, Eaux-Vives, Champel, Plainpalais, Carouge, Lancy, Vernier, Meyrin, Onex, Thonex, Chene-Bougeries, Plan-les-Ouates, Grand-Saconnex. La consultation initiale avec scanner 3D et plan de traitement est a CHF 115, sans engagement.
Questions frequentes
Quel est le prix d'un implant dentaire a Geneve ?
Un implant unitaire complet (implant + pilier + couronne ceramique) coute entre CHF 2,800 et CHF 4,900 a Geneve en 2026. Chez Rhone Dental Clinic, le tarif commence a CHF 3,000. Une reconstruction complete d'arcade All-on-4 coute entre CHF 15,000 et CHF 20,000. La consultation initiale avec scanner 3D est a CHF 115.
Combien de temps dure la pose d'un implant dentaire ?
La chirurgie de pose dure 30 a 60 minutes par implant sous anesthesie locale. La cicatrisation et l'osseointegration prennent ensuite 3 a 6 mois. Le processus complet, de la consultation a la couronne definitive, dure en moyenne 4 a 6 mois. La mise en charge immediate permet de repartir avec des dents provisoires le jour meme.
L'implant dentaire est-il rembourse par l'assurance en Suisse ?
L'assurance de base (LAMal) ne couvre pas les implants dentaires, sauf en cas d'accident ou de maladie grave de l'appareil masticateur. Les assurances complementaires dentaires peuvent cependant rembourser entre 50% et 75% du cout selon le contrat et l'anciennete. Nous fournissons le devis standardise accepte par toutes les complementaires.
Est-ce que la pose d'un implant est douloureuse ?
Non. L'intervention se deroule sous anesthesie locale et est totalement indolore. Une legere gene peut etre ressentie pendant 2 a 3 jours apres l'operation, facilement controlee par du paracetamol ou de l'ibuprofene. La plupart des patients reprennent leurs activites des le lendemain.
Quel est le taux de succes d'un implant dentaire ?
Le taux de succes des implants en titane est de 97-98% a 5 ans et de 92-97% a 10 ans, selon les etudes cliniques publiees. Les implants Straumann et Nobel Biocare utilises en Suisse figurent parmi les plus etudies au monde avec des taux de survie a 20 ans superieurs a 92%.
Peut-on fumer avec un implant dentaire ?
Le tabac multiplie par deux le risque d'echec implantaire. La nicotine reduit la vascularisation, ralentit la cicatrisation et favorise les infections. Il est imperatif d'arreter de fumer au moins 1 semaine avant la chirurgie et pendant les 2 mois suivants. L'arret complet est fortement recommande pour la longevite de l'implant.
Combien d'implants faut-il pour remplacer toutes les dents ?
Pour une arcade complete, 4 a 6 implants suffisent grace aux techniques All-on-4 ou All-on-6. Cela represente entre 8 et 12 implants au total pour reconstituer toute la dentition (haut et bas). Il n'est pas necessaire d'avoir un implant par dent manquante.
Faut-il toujours une greffe osseuse avant un implant ?
Non. Une greffe n'est necessaire que si le volume osseux est insuffisant, ce qui concerne environ 30 a 40% des patients ayant perdu une dent depuis longtemps. Le scanner CBCT 3D lors de la consultation permet d'evaluer precisement le besoin. La technique All-on-4 permet souvent d'eviter les greffes en exploitant les angles d'os disponibles.
Envie d'un avis d'expert ?
Consultation implantaire avec scanner CBCT 3D et plan de traitement personnalise a CHF 115. Sans engagement, devis ecrit remis le jour meme.
Rue du Rhone 29, 1204 Geneve · Lun-Ven 8h-19h · Sam 9h-13h
A lire aussi
Implants
Implant unitaire : tout savoir sur le remplacement d'une dent
Prix, etapes et resultats du traitement de reference.
Arcade complete
All-on-4 a Geneve : dents fixes en 24 heures
La solution pour retrouver une dentition complete rapidement.
Chirurgie
Greffe osseuse dentaire : quand, pourquoi, comment
Techniques, biomateriaux et delais de cicatrisation.
Pratique
Implants dentaires et assurance en Suisse
LAMal, complementaires et facilites de paiement.